Травматический гингивит относится к категории локальных. Он может возникнуть при травме десен во время стоматологических процедур: снятия зубного налёта или камня, сверления зуба. Травма может возникнуть в результате некачественно поставленных пломб и зубных протезов. Наконец, травму десны может нанести себе сам пациент, например, при чистке зубов щеткой с жесткой щетиной, при приёме пищи и др.
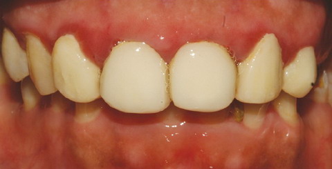
Локальный травматический гингивит проявляется чувством дискомфорта в деснах, неприятным запахом изо рта, кровоточивостью десен во время еды и чистки зубов. Межзубные десневые сосочки могут приобретать синюшный цвет, а сама десна может отекать и увеличиваясь в объеме.
Лечение гингивитов травматического происхождения должно быть комплексным и направленным на устранение причины воспаления десны и непосредственном устранении самого воспаления с помощью медикаментозных средств.
Травматический гингивит, развившийся вследствие неправильно изготовленной коронки, лечат медикаментозно, после снятия коронки для устранения причины. Повторное протезирование уже проводят после внесения соответствующих коррективов в конструкцию.

Если причиной травматического гингивита является неправильное положение зуба, необходимо ортодонтическое лечение. При наклоне зубов или повороте вокруг оси эффективным средством, восстанавливающим правильное положение в зубном ряду, является искусственная коронка. Если зуб наклонен, меняют препаровку: со стороны наклона снимают больше здоровых тканей. При небном положении зубов рекомендуется применять цельнолитую конструкцию, состоящую из опорной коронки на смещенный зуб и вестибулярно выдвинутой фасеточной части, облицованной композитным составом или фарфором.
При травме десневого сосочка, показано применение литой вкладки или коронки с точным восстановлением межзубных контактов.
Развитие некроза твердых тканей в результате расцементировки коронок требует депульпирования зубов. После этого следует иссечение коронковой части, изготовление культи со штифтом и искусственной коронки.
Травматический гингивит, развившийся в группе передних зубов, при глубоком прикусе лечат методом сошлифовки (укорочения) резцов, иногда и клыков на нижней челюсти.
При проникновении кариозной полости в пришеечной области зуба под десневой край, показано применение металлической вкладки или пломбирование полости. В случаях гипертрофического гингивита показано предварительное иссечение участка десны. После полного снятия воспалительных явлений приступают к изготовлению вкладки и коронки.
Местное лечение локального гингивита включает профессиональную чистку зубов (снятие зубного камня и мягкого налёта), при необходимости назначаются противовоспалительное лечение, физиотерапевтические процедуры, поливитамины, ротовые ванночки раствором хлоргексидина. Пациент обучается правильной гигиене полости рта, выбору индивидуальных средств гигиены: зубной щетки, зубной пасты, зубных «ершиков», флоссов.