Заболевание характеризуется интенсивным поражением пародонта. В зависимости от течения, прогрессирующий пародонтит может быть: быстро прогрессирующий и медленно прогрессирующий.
Быстро прогрессирующий пародонтит, как правило, возникает в возрасте от 12 до 35 лет и может развиться из ювенильного пародонтита.
Внутри своей формы быстро прогрессирующий пародонтит подразделяется еще на два типа, в зависимости от возрастной категории пациентов: тип А, развившийся у пациентов в возрасте от 14-26 лет и тип В, быстропрогрессирующий пародонтит у пациентов в возрасте от 26 до 35 лет.
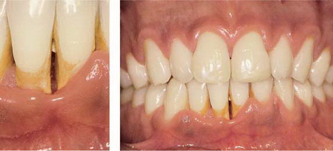
Заболевание локализуется одновременно в области нескольких зубов. Некоторые случаи развития быстропрогрессирующего пародонтита могут сопровождать такие системные заболевания, как сахарный диабет, или синдром Дауна. При этой форе заболевания происходит быстрое разрушение костной ткани, причём, активные периоды чередуются с периодами ремиссии.

В активный период наблюдаются выраженные признаки воспаления пародонта, выделение гнойного экссудата из десневых карманов, что в конечном итоге приводит к обширным поражениям костной ткани. В периоды ремиссии десна слабо воспалена, разрушение костной ткани не прогрессирует.
Медленно прогрессирующий пародонтит у взрослых, как правило, возникает в возрасте 30-35 лет. В отличие от быстро прогрессирующего пародонтита, резорбция костной ткани распространяется на весь зубной ряд.
Различают обострившееся и хроническое течение этой формы пародонтита, причём, периоды обострения чередуются с ремиссией. У больных этой формой пародонтита не выявлены дeфeкты кровяных клеток и не установлена наследственная предрасположенность. Независимо от типа, заболевание часто рецидивирует, несмотря на успешность и качество проведенной терапии.